ابتكار «حبة قاتلة للسرطان» لا تؤثر على الخلايا السليمة
-
03 August 2023
-
2 yrs ago
-
-
source: الشرق الأوسط
-
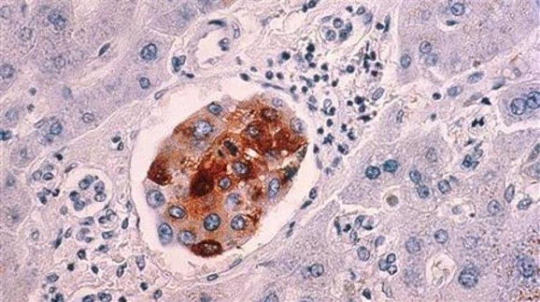
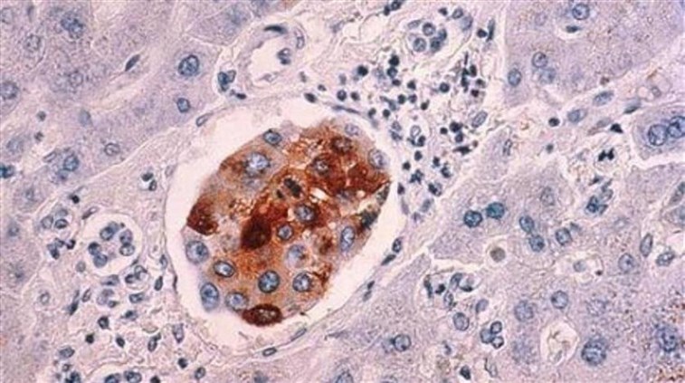
ابتكرت مجموعة من العلماء «حبة قاتلة للسرطان» قد «تقضي» على الأورام تماما تاركة الخلايا السليمة غير متأثرة.
ووفقاً لشبكة «سكاي نيوز» البريطانية، فإن العقار الجديد قيد التطوير منذ 20 عاماً، ويخضع الآن للتجارب ما قبل السريرية في الولايات المتحدة.
ويُعرف الدواء باسم «AOH1996»، وهو يستهدف طفرة سرطانية من بروتين يُسمى مستضد نواة الخلية المتكاثر (PCNA).
ويتم العمل على الدواء من قبل منظمة «City of Hope»، وهي واحدة من أكبر منظمات أبحاث وعلاج السرطان في أميركا.
وأوضحت الدكتورة ليندا مالكاس، التي شاركت في تطوير العقار: «في شكله الأساسي، يعد بروتين مستضد نواة الخلية المتكاثر (حاسما ومهما) لتكرار الحمض النووي وعلاج الأورام. لكنه قد يتحور ويتغير إلى طفرة سرطانية في الخلايا».
وأضافت «يستهدف الدواء شكل بروتين مستضد نواة الخلية المتكاثر في الخلايا السرطانية فقط دون التأثير على الخلايا السليمة»، وذلك عكس العلاج الإشعاعي الذي قد يؤثر سلبا على الخلايا الصحية مع الخلايا السرطانية.
وتابعت قائلة: «يشبه بروتين مستضد نواة الخلية المتكاثر محطة طيران رئيسية تحتوي على عدة بوابات للطائرات. وتشبه حبوبنا القاتلة للسرطان عاصفة ثلجية تغلق باباً رئيسياً لشركات الطيران، وتغلق جميع الرحلات الجوية من وإلى الخارج فقط في الطائرات التي تحمل الخلايا السرطانية».
وأشار العلماء إلى أنهم أجروا تجارب أولية للدواء على حيوانات وخلايا بشرية بالمختبر، وقد جاءت النتائج حتى الآن واعدة، إلا أنهم ما زالوا بحاجة لإجراء تجارب سريرية على البشر.
-
-
Just in
-
16 :13
إذاعة الجيش الإسرائيلي: الجيش أبلغ سكان البلدات المتاخمة للحدود مع لبنان بضرورة البقاء قرب الملاجئ
-
16 :11
مدير شركة روس آتوم الروسية: قصف محطة بوشهر كان داخل منطقة الحماية الخاصة واحتمال وقوع حادث نووي يزداد
-
16 :08
مقر خاتم الأنبياء:
- سنكشف عن أنظمة الدفاع الحديثة في ساحة المعركة
- سنحقق بالتأكيد السيطرة الكاملة على سماء إيران وسنثبت للعالم أكثر من أي وقت مضى ذل وهوان العدو
- أسقطنا أمس طائرة إف 35 و3 مسيرات وصاروخي كروز ومروحيتي بلاك هوك ومقاتلة من نوع إيه 10 -
16 :04
الخارجية الإماراتية: الإمارات تندد بالاعتداءات التي استهدفت بعثتها ومقر إقامة رئيس البعثة في دمشق
-
15 :47
"الحزب": قصفنا تجمعا لآليات وجنود العدو الإسرائيلي في ساحة بلدة القنطرة برشقة صاروخية
-
15 :33
مطلوب وحدة دم عدد 2 +B الرجاء التواصل على الرقم التالي:03682161 (النقل مؤمن)
-
-
Other stories
Just in
-
16 :13
إذاعة الجيش الإسرائيلي: الجيش أبلغ سكان البلدات المتاخمة للحدود مع لبنان بضرورة البقاء قرب الملاجئ
-
16 :11
مدير شركة روس آتوم الروسية: قصف محطة بوشهر كان داخل منطقة الحماية الخاصة واحتمال وقوع حادث نووي يزداد
-
16 :08
مقر خاتم الأنبياء:
- سنكشف عن أنظمة الدفاع الحديثة في ساحة المعركة
- سنحقق بالتأكيد السيطرة الكاملة على سماء إيران وسنثبت للعالم أكثر من أي وقت مضى ذل وهوان العدو
- أسقطنا أمس طائرة إف 35 و3 مسيرات وصاروخي كروز ومروحيتي بلاك هوك ومقاتلة من نوع إيه 10 -
16 :04
الخارجية الإماراتية: الإمارات تندد بالاعتداءات التي استهدفت بعثتها ومقر إقامة رئيس البعثة في دمشق
-
15 :47
"الحزب": قصفنا تجمعا لآليات وجنود العدو الإسرائيلي في ساحة بلدة القنطرة برشقة صاروخية
-
15 :33
مطلوب وحدة دم عدد 2 +B الرجاء التواصل على الرقم التالي:03682161 (النقل مؤمن)
All news
- Filter
-
-
"غارات على بيروت".. ماذا قال الجيش الاسرائيلي؟
-
04 April 2026
-
قبلان للراعي: الرب لا يساوي بين الطاغية والمظلوم
-
04 April 2026
-
EXCLUSIVEخاص - محامون يُقاضون صحافياً أمام القضاء!
-
04 April 2026
-
ظريف: "لإنهاء 47 عاماً من العداء مع واشنطن والتوصّل إلى اتفاق سلام"!
-
04 April 2026
-
أدرعي: إنذار عاجل إلى سكان مدينة صور... "لإخلاء منازلكم فورًا"!
-
04 April 2026
-
باسيل تعليقاً على مقال ظريف لـ"فورين أفيرز: اخترتَ العقل على وهم الإنتصار الأبدي... وهذا ما نريده للبنان
-
04 April 2026
-
EXCLUSIVEكواليس - وزير تعسّفي!
-
04 April 2026
-
سقوط 5 شهداء في غارة على صور فجرًا
-
04 April 2026
-
EXCLUSIVEبالفيديو- أبو زيد في حديث شامل عبر tayyar.org: كيف أتوقف عن الدفاع وأنا تحت القصف.. وهذا ما قاله عن مؤتمر معراب والحزب والجيش وجزين
-
04 April 2026
-
عائلة تحت الانقاض جرّاء غارة إسرائيلية
-
04 April 2026

