«كورونا»... الصورة الأولى لتكاثر خلايا الفيروس القاتل
-
02 February 2020
-
6 yrs ago
-
-
source: tayyar.org
-
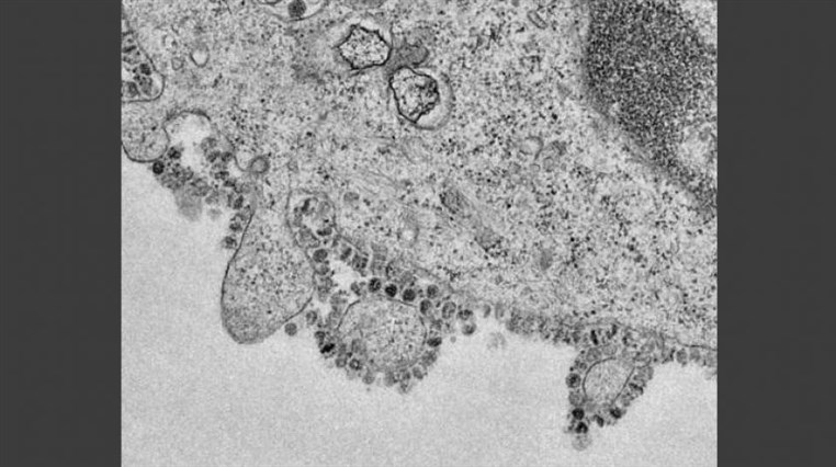
نشر علماء بجامعة هونغ كونغ، أمس (الجمعة)، صوراً مكبرة لفيروس «كورونا» الجديد الذي أثار حالة طوارئ صحية عالمية.
وتُظهِر صورة مجهرية إلكترونية دقيقة جزءاً من خلية مصابة بـ«كورونا»، بينما يطلق سطحها جزيئات من الفيروس، بحسب ما نشرته وكالة «بلومبرغ».
وقال جون نيكولز، وهو أستاذ في علم الأمراض (باثولوجي) في الجامعة، إن كل خلية مصابة تنتج الآلاف من جزيئات الفيروسات المعدية الجديدة التي يمكن أن تستمر في إصابة خلايا أخرى.
ويدرس الباحثون عينات في فترات زمنية مختلفة لفهم كيف يتكاثر فيروس «كورونا» الجديد الذي أطلق عليه اسم «2019 - إن - كوف» مقارنة بفيروسات أخرى من الفصيلة نفسها.
وأوضح نيكولز أن الفيروسات ذات الصلة التي تسببت في متلازمة الجهاز التنفسي الحادة الوخيمة (السارس) ومتلازمة الجهاز التنفسي في الشرق الأوسط قد تمت دراستها على نطاق أوسع.
وارتفع عدد حالات الوفيات الناجمة عن الإصابة بفيروس «كورونا» الجديد في الصين ليصل إلى 259 حالة وفاة، فيما قفز عدد المصابين بالفيروس إلى 11 ألفاً و791 مصاباً، حسبما أفاد به مسؤولون صينيون، اليوم (السبت)، وفقاً لتقرير نشرته «وكالة الأنباء الألمانية».
وقال مسؤولو الصحة في إقليم هوبي بوسط الصين، وهو بؤرة تفشي فيروس كورونا، إنه تم تسجيل 1347 حالة إصابة جديدة في الإقليم بمفرده، ليرتفع العدد الإجمالي لحالات الإصابة به إلى 7153 حالة.
وقد أغلقت السلطات الصينية مدينة ووهان، التي يبلغ عدد سكانها 11 مليون شخص، وغيرها من المدن. -
-
Just in
-
23 :36
الرئيس الإيراني مسعود بزشكيان: سنحاسب المسؤولين عن مقتل أمين المجلس الأعلى للأمن القومي علي لاريجاني
-
23 :21
إعلام إيراني: لاريجاني استهدف في منزل ابنته في منطقة برديس بطهران
-
23 :15
مسؤول إيراني رفيع للجزيرة:
- أي حل دبلوماسي يجب أن يشمل تعويضات ووقف استهداف المقاومة والانسحاب من لبنان
- فتح مضيق هرمز لن يتم إلا بوقف كامل لإطلاق النار والالتزام التام بشروط إيران -
23 :12
الجيش الاسرائيلي يحاول التوغل في بلدة مارون الراس وسط غطاء ناري من القصف المدفعي والرشاشات وقصف يطال مدينة بنت جبيل وبلدة عيناثا
-
23 :05
مجلس الأمن القومي الإيراني: إستشهاد لاريجاني مع ابنه! تتمة
-
22 :56
وكالة "فارس": استشهاد أمين المجلس الأعلى للأمن القومي الإيراني علي لاريجاني
-
-
Other stories
Just in
-
23 :36
الرئيس الإيراني مسعود بزشكيان: سنحاسب المسؤولين عن مقتل أمين المجلس الأعلى للأمن القومي علي لاريجاني
-
23 :21
إعلام إيراني: لاريجاني استهدف في منزل ابنته في منطقة برديس بطهران
-
23 :15
مسؤول إيراني رفيع للجزيرة:
- أي حل دبلوماسي يجب أن يشمل تعويضات ووقف استهداف المقاومة والانسحاب من لبنان
- فتح مضيق هرمز لن يتم إلا بوقف كامل لإطلاق النار والالتزام التام بشروط إيران -
23 :12
الجيش الاسرائيلي يحاول التوغل في بلدة مارون الراس وسط غطاء ناري من القصف المدفعي والرشاشات وقصف يطال مدينة بنت جبيل وبلدة عيناثا
-
23 :05
مجلس الأمن القومي الإيراني: إستشهاد لاريجاني مع ابنه! تتمة
-
22 :56
وكالة "فارس": استشهاد أمين المجلس الأعلى للأمن القومي الإيراني علي لاريجاني
All news
- Filter
-
-
مجلس الأمن القومي الإيراني: إستشهاد لاريجاني مع ابنه!
-
17 March 2026
-
غارة بعلبك : شهداء وجرحى ومفقودون !
-
17 March 2026
-
ادرعي : انذار عاجل من الاحتلال إلى سكان مدينة صور والمخيمات والأحياء المحيطة بها
-
17 March 2026
-
EXCLUSIVEخاص- امر خطير في سجن رومية الان
-
17 March 2026
-
منير الربيع يكشف سراً عن التدخل السوري في لبنان: هذه هي الدول التي دعمت الشرع!
-
17 March 2026
-
بيان للجيش اللبناني... هذا ما جاء فيه!
-
17 March 2026
-
يمنى الجميّل: سنواجه أي انتهاك لل١٠٤٥٢ كلم أكان من الجانب الإسرائيلي أو السوري
-
17 March 2026
-
شو الوضع؟ الحرب إلى مزيد من التصعيد واستهداف البنية الداخلية لإيران... المواجهة البرية متواصلة لبنانياً وأفق التفاوض مسدود
-
17 March 2026
-
"لبنان القوي": أي تحرك دولي لوقف النار يجب أن يلاقيه لبنان بخطوات عملية وخطة دفاعية متكاملة
-
17 March 2026
-
رسالة من قاسم إلى عناصر "الحزب"... إليكم ما جاء فيها!
-
17 March 2026

